Ventricular Brain Tumors

What is it?

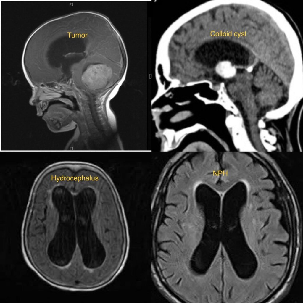
Ventricular Brain Tumors are abnormal growths of cells that develop within the ventricular system of the brain. The ventricles are fluid-filled spaces within the brain that produce and circulate cerebrospinal fluid (CSF). Tumors that arise within these ventricles can interfere with the production and flow of CSF, leading to increased pressure within the brain and potential neurological symptoms.
Symptoms:
- Symptoms of ventricular brain tumors can vary depending on the size, location, and rate of growth of the tumor.
- Common symptoms may include headaches, nausea and vomiting (particularly in the morning), changes in vision or hearing, difficulty with balance or coordination, cognitive changes, and seizures.
Primary Symptoms:
The primary symptoms of ventricular brain tumors may include:
- Headaches: Persistent or severe headaches, particularly in the morning or with changes in position, may occur due to increased pressure within the ventricles.
- Nausea and Vomiting: Nausea and vomiting, especially in the morning or without an obvious cause, may result from increased intracranial pressure.
- Vision Changes: Blurred vision, double vision, or loss of peripheral vision may occur if the tumor compresses or obstructs the optic nerves or nearby structures.
- Cognitive Changes: Difficulty with memory, concentration, or other cognitive functions may occur as the tumor affects brain function.
- Seizures: Sudden, unexplained seizures may occur if the tumor irritates or compresses surrounding brain tissue.
Diagnosis/Treatment:
- Diagnosis typically involves a thorough neurological examination, medical history, imaging studies such as MRI or CT scans, and sometimes lumbar puncture (spinal tap) to evaluate CSF pressure and composition.
- Treatment options vary depending on the size, location, and type of tumor but may include surgery to remove the tumor, radiation therapy, chemotherapy, targeted therapy, immunotherapy, or a combination of these treatments.
What to Expect After Surgery:
- After surgery for a ventricular brain tumor, patients can expect relief from symptoms caused by the tumor, such as headaches or neurological deficits.
- Recovery time varies depending on the extent of the surgery and the individual patient’s condition, but most patients can expect to gradually improve over several weeks to months.
- Rehabilitation, including physical therapy, occupational therapy, speech therapy, and cognitive therapy, may be necessary to help regain function and independence.
Risk & Complications:
- As with any surgery, there are risks associated with procedures to treat ventricular brain tumors, including bleeding, infection, nerve injury, cerebrospinal fluid leakage, and complications related to anesthesia.
- Additionally, there may be a risk of complications specific to the location and type of tumor being treated, such as damage to nearby brain structures, recurrence of the tumor, or development of new neurological deficits.
- However, complications are relatively rare, and the benefits of surgery often outweigh the risks, particularly when the tumor is causing significant symptoms or impairing brain function. Early detection and treatment can improve outcomes and quality of life for patients with ventricular brain tumors.
Brain Treatments

About Dr. Bharat
Dr Bharat Shinde completed his M.Ch Neurosurgery from the National Institute Of Mental Health And Neurosciences (NIMHANS), Bangalore which is an institute of National importance.