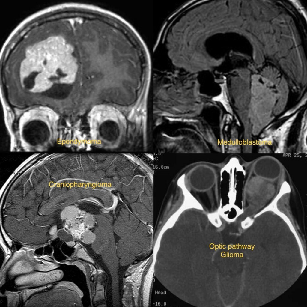
Pediatric Brain Tumors

What is it?

Pediatric Brain Tumors are abnormal growths of cells in the brain or central nervous system that occur in children and adolescents. These tumors can be benign (non-cancerous) or malignant (cancerous), and they can arise from various types of brain tissue. They are the most common solid tumors in children.
Symptoms:
- Symptoms of pediatric brain tumors can vary depending on the location, size, and type of tumor.
- Common symptoms may include headaches, vomiting (particularly in the morning), seizures, changes in behavior or personality, difficulty with balance or coordination, and changes in vision or hearing.
Primary Symptoms:
The primary symptoms of pediatric brain tumors may include:
- Headaches: Persistent or severe headaches, particularly in the morning or with changes in position, are a common symptom of brain tumors.
- Vomiting: Nausea and vomiting, especially in the morning or without an obvious cause, may occur due to increased pressure within the skull.
- Seizures: Sudden, unexplained seizures may occur if the tumor irritates or compresses brain tissue.
- Changes in Behavior: Irritability, changes in mood or personality, or declining school performance may indicate a brain tumor affecting cognitive function.
- Motor or Sensory Changes: Weakness, numbness, or difficulty with coordination may occur if the tumor affects areas of the brain responsible for motor or sensory function.
Diagnosis/Treatment:
- Diagnosis typically involves a thorough neurological examination, medical history, imaging studies such as MRI or CT scans, and sometimes biopsy to determine the type and grade of the tumor.
- Treatment options vary depending on the type, size, location, and grade of the tumor but may include surgery to remove the tumor, radiation therapy, chemotherapy, targeted therapy, immunotherapy, or a combination of these treatments.
What to Expect After Surgery:
- After surgery for a pediatric brain tumor, the child may experience relief from symptoms caused by the tumor, such as headaches or seizures.
- Recovery time varies depending on the extent of the surgery and the individual child’s condition, but most children can expect to gradually improve over several weeks to months.
- Rehabilitation, including physical therapy, occupational therapy, speech therapy, and cognitive therapy, may be necessary to help the child regain function and independence.
Risk & Complications:
- As with any surgery, there are risks associated with procedures to treat pediatric brain tumors, including bleeding, infection, nerve injury, and complications related to anesthesia.
- Additionally, there may be a risk of complications specific to the location and type of tumor being treated, such as damage to nearby brain tissue, changes in cognitive function, or recurrence of the tumor.
- However, complications are relatively rare, and the benefits of surgery often outweigh the risks, particularly when the tumor is causing significant symptoms or affecting the child’s development. Early detection and treatment can improve outcomes and quality of life for children with brain tumors.
Brain Treatments

About Dr. Bharat
Dr Bharat Shinde completed his M.Ch Neurosurgery from the National Institute Of Mental Health And Neurosciences (NIMHANS), Bangalore which is an institute of National importance.