Knowledge Sharing
Living with Sciatica: How a Spine Specialist Can Help You Walk Pain-Free Again
The compression or irritation of the sciatic nerve, the largest in the body, gives rise to incapacitating pain that often radiates from the lower back down the legs. The sciatic nerve controls the muscles of the lower legs while simultaneously...
Can You Avoid Spine Surgery? Understanding Non-Surgical Options from a Neurospine Expert
The words spine surgery can evoke a range of emotions, from relief at the prospect of pain relief to apprehension about the procedure itself and the recovery process. Your search for pain relief includes examination of various treatments because...
Disc Prolapse Pain: When to Worry and What to Do Next
Back pain is one of the most uncomfortable symptoms most people experience, although it typically lasts for a limited time. The human body experiences strain when carrying heavy objects, resting improperly or spending excessive time with a hunched...
Why Does My Neck Hurt All the Time? A Neurosurgeon’s Insight into Cervical Spine Issues
Chronic neck pain isn’t just uncomfortable—it’s your body’s signaling that something deeper might be wrong. Whether it’s stiffness, sharp twinges, or a persistent ache that won’t go away, the root cause often lies in the cervical spine. What many...
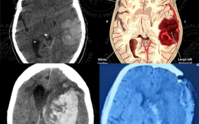
How High Blood Pressure Increases Stroke Risk?
High blood pressure, also known as hypertension, is a silent killer that significantly increases the risk of stroke. It is one of the leading causes of stroke worldwide, affecting millions of people without showing any noticeable symptoms. If left...
Causes of Spinal Pain and Effective Relief Strategies
Spinal pain is a common health issue affecting millions of people worldwide. Whether caused by lifestyle habits, injuries, or underlying medical conditions, back pain can severely impact daily life. Understanding its causes and exploring effective...
Decoding Brain Disorders: Causes, Symptoms and the Latest Treatment Options
Like a complex and intricate circuitry, humans have billions of neurons that connect up and control all functions of our body. It controls our thoughts, feelings and emotions, movements, memory, and their power to interact. Aside from allowing more...
How to Maintain a Healthy Spine for a Pain-Free Life
Introduction Your spine is the literal backbone of your body! It helps maintain your posture, assists in movement and shields the spinal cord. However, the most vital part of the human body is the spine — a healthy spine is essential for a...
Spotting Early Signs of Spinal Deformities
The spine is vital to our health. It supports the body from head to toe and makes standing, sitting, and moving easy. Spine abnormalities can cause pain, discomfort, and long-term health issues, affecting posture and health. Finding and fixing...
How Can the Best Neurosurgeon Transform Your Neurological Health?
Brain and spinal cord are the body's most essential parts. They control thoughts, feelings, and actions. If this important part of the body gets sick, you should find the best neurosurgeon in Thane to ensure you get the best care. Neurosurgeons...









