Case Studies
Spotting Early Signs of Spinal Deformities
The spine is vital to our health. It supports the body from head to toe and makes standing, sitting, and moving easy. Spine abnormalities can cause pain, discomfort, and long-term health issues, affecting posture and health. Finding and fixing...
How Can the Best Neurosurgeon Transform Your Neurological Health?
Brain and spinal cord are the body's most essential parts. They control thoughts, feelings, and actions. If this important part of the body gets sick, you should find the best neurosurgeon in Thane to ensure you get the best care. Neurosurgeons...
Expert Neurosurgeon in Thane: Dr. Bharat Shinde at NeuroSpine Thane
Dr. Bharat Shinde is the best when looking for a reliable neurosurgeon in Thane. He is a leader in brain and spine operations because he has had the best training, knowledge from around the world. Dr. Shinde's NeuroSpine Brain & Spine Clinic in...
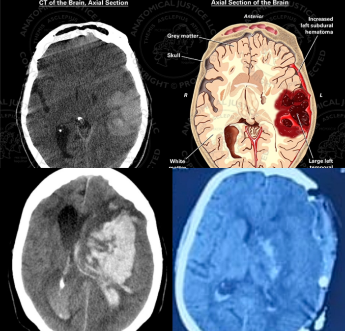
Understanding Intracranial Hematoma (ICH) and the Role of Surgery: Insights from a Neurosurgeon in Thane
What is Intracranial Hematoma (ICH)? An intracranial hematoma (ICH) occurs when blood vessels within the brain rupture, leading to the accumulation of blood in the skull. This condition can cause significant pressure on the brain, leading to...
A Case of Brain Tumor Recovery: How timely intervention can cure the complex problems
A 60-year-old woman came to us with serious symptoms that disrupted her daily life. She experienced significant left-side weakness, struggled with even dragging her left foot, and had a notably weakened grip in her left hand. These symptoms went on...